The Darkroom
Anatomy Challenges
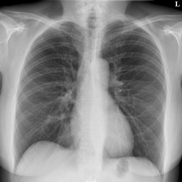
Start with learning mode to learn to recognise the bony anatomy on the projection of your choice, then progress to study mode to test what you have learned.
| WRIST | PELVIS | ELBOW | FACIAL BONES | FOOT | CHEST | ANKLE |
|---|---|---|---|---|---|---|
![]() |
![]() |
![]() |
![]() |
![]() |
![]() |
![]() |
| PA | AP | AP | OM10 | AP | PA | LAT |
![]() |
![]() |
![]() |
![]() |
|||
| LAT | LAT | OB | LAT | |||
![]() |
||||||
| OB | ||||||
| SHOULDER | KNEE | CERVICAL | ||||
![]() |
![]() |
![]() |
||||
| AP | AP | ST LAT | ||||
![]() |
||||||
| AX |
| WRIST | PELVIS | ELBOW |
|---|---|---|
![]() |
![]() |
![]() |
| PA | AP | AP |
![]() |
![]() |
|
| LAT | LAT | |
![]() | ||
| OB | ||
| FACIAL BONES | FOOT | CHEST |
![]() |
![]() |
![]() |
| OM10 | AP | PA |
![]() |
![]() |
|
| OB | LAT | |
| ANKLE | SHOULDER | KNEE |
![]() |
![]() |
![]() |
| LAT | AX | AP |
![]() |
||
| AP | ||
| CERVICAL | ||
![]() |
||
| LAT | ||
Quiz Game
Pick a category, answer a question, keep being excellent until you win. Categories include anatomy, physics and pathology for your quizzing pleasure.

QUIZ
The Darkroom
Interactive learning resources
Learn bony anatomy from X-ray images - hover over the bones to display the names in learning mode, then test your knowledge and retention in study mode.
Radiology Quiz Machine - charge up the X-ray machine by filling the tank with photons generated by your expansive genius.
Enter the Darkroom
Planned content:
The Breakroom
Browser games, some radiology themed, some animal themed, some so vile that you'll wonder whether you'll be on a list afterwards.
(Spoiler - you will be. The COOL PEOPLE list!)
Enter the Beakroom
The Library
Useful reading materials. Chances are, if you end up in here, you're both well clever and extremely good-looking. Probably also with great hair.
Enter the LibraryPlanned content:
The Mail Room
Get in touch. Ideas for future projects, feedback, bug reports and complaints about life are all welcome.
I set up a special e-mail and everything, go ahead and make it worthwhile.
Enter the Mail RoomThe Cupboard
A nice little cubby to store works in progress, as well as things which aren't useful but would be too emotionally crippling to throw away.
Enter the Cupboard















